皇冠信用登2代理_【前沿进展】rOC43-CoV2 S:一种用于SARS-CoV-2中和试验的BSL-2代理病毒
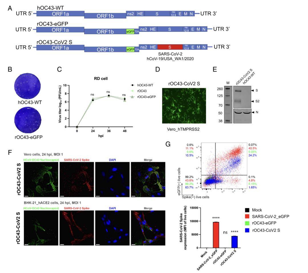
新2足球网址(www.huangguan.hk)为您提供最新登1登2登3代理网址,包括新2登1登2登3代理手机网址,新2登1登2登3代理备用网址,皇冠登1登2登3代理最新网址,2024年5月24日,《sPNAS》杂志上发表了一篇题为“Recombinant OC43 SARS-CoV-2 spike replacement virus: An improved BSL-2 proxy virus for SARS-CoV-2 neutralization assays”的研究论文皇冠信用登2代理。本研究构建了一种重组的人OC43病毒(rOC43-CoV2 S),其天然的spike糖蛋白替换成SARS-CoV-2 spike。该病毒由于其在培养细胞和动物中的高度减毒而被指定为生物安全性2级。rOC43-CoV 2 S是一种改进的替代病毒,用于评估中和抗体,同时也是一种减毒活COVID粘膜候选疫苗,在小鼠和恒河猴中激发强烈的体液和粘膜抗体反应。

主要研究结果如下:
1、可复制重组OC43 病毒的生产
利用环状聚合酶延伸反应(CPER)技术,成功构建了一种重组OC43病毒(rOC43-eGFP),该病毒在ORF1b基因的3'端插入了增强型绿色荧光蛋白(eGFP)报告基因皇冠信用登2代理。再将SARS-CoV-2的Spike基因替换到rOC43-eGFP中,生成了rOC43-CoV2 S病毒。在细胞水平上展现出高度减毒。

展开全文
2、rOC43-CoV2 S对小鼠无致病性
在hACE2转基因小鼠模型中,rOC43-CoV2 S感染的小鼠与对照组小鼠在体重和存活率上没有显著差异,表明该病毒在小鼠中不引起明显的疾病症状皇冠信用登2代理。rOC43-CoV2 S感染的小鼠则未观察到明显的组织病理学变化。

3、rOC43-CoV2 S是一种有前景的减毒活疫苗载体
在小鼠体内皇冠信用登2代理,单剂量的rOC43-CoV2 S鼻内免疫能够诱导产生高滴度的抗SARS-CoV-2中和抗体,并能完全保护小鼠免受SARS-CoV-2的致命攻击

4、rOC43-CoV2 S在恒河猴中诱发强烈的抗SARS-CoV-2 的血清和黏膜抗体
恒河猴接种疫苗后,表现出高度减毒皇冠信用登2代理。并可产生S蛋白特异性的血清和黏膜IgA和IgG抗体反应,能有效中和SARS-CoV-2。


原文链接:
本期编辑:可爱晨
猜你喜欢
- 2025-11-21皇冠信用网押金多少 _哈登31+5+8祖巴茨14+19 快船不敌魔术遭遇三连败
- 2025-11-21皇冠信用网登3代理注册 _外交部赵立坚点赞湛江:渔网起落间,满舱鲜活载着晨光归来
- 2025-11-21皇冠信用网登3代理注册 _乌克兰割让更多领土、裁军一半,特朗普已批准新俄乌和平计划
- 2025-11-21皇冠信用盘注册开户 _闻泰科技,最新声明!
- 2025-11-21皇冠信用盘会员 _“有一块钱,你给我枪毙了!”北京警方刑拘一七旬大爷
- 2025-11-20皇冠信用盘平台出租 _从9秒83到最后一棒:中国短跑的苏炳添时代,正式落幕!
- 2025-11-20皇冠信用盘登2代理 _杨翰森2分2篮板1助攻 开拓者遭公牛绝杀
- 2025-11-20正版皇冠信用网代理 _新闻多一度丨高市早苗发表涉台错误言论 我们整理了这6个关键问题
- 2025-11-20正版皇冠信用盘开户 _黄山市一化工园区工厂失火,现场浓烟滚滚并伴随有爆炸声,当地紧急救援
- 2025-11-20皇冠登1登2登3 _荷兰已宣布暂停!闻泰科技:对安世的控制权仍处于受限状态!什么情况?
- 2025-11-19皇冠信用盘代理登3 _实属罕见!中美俄三领袖缺席G20,折射一大信号:全球治理迎来关键转折,高市早苗突遭当头一棒
- 2025-11-19皇冠信用账号申请 _行动暂停!中方怒火快压不住,李在明下定决心,第一个向日本发难,高市早苗这回玩过火了



网友评论